Một số phụ nữ chia sẻ về cú sốc và sự phấn khích khi phát hiện vòng 1 của họ “lớn hơn” sau khi tiêm vắc xin Covid-19. Các chuyên gia đã giải thích vì sao hiện tượng này lại xảy ra.
Trang News.com.au hôm 26/7 đưa tin, một số phụ nữ tiêm vắc xin Pfizer nói rằng họ gặp tác dụng phụ không ngờ đến là kích thước của vòng 1 lớn hơn thời điểm trước khi tiêm.
Các tác dụng phụ thường gặp khi tiêm vắc xin Covid-19, bao gồm đau nhức tại chỗ tiêm, đau đầu, mệt mỏi hoặc có các triệu chứng giống như bị cúm.
Việc nhận thấy kích thước vòng 1 và các hạch bạch huyết “sưng phồng” sau khi tiêm vắc xin Covid-19, khiến nhiều phụ nữ đặt tên cho tác dụng phụ này là “Pfizer nâng ngực”.

Một số phụ nữ nói rằng vòng 1 của họ “lớn hơn” sau khi tiêm chủng vắc xin Covid-19. Ảnh minh họa: San Diego Union Tribune
“Pfizer nâng ngực”
Mạng xã hội đã lan truyền tuyên bố của không ít phụ nữ nói rằng vòng 1 của họ “lớn hơn” sau khi tiêm vắc xin Pfizer. Một số thì phân vân không rõ bản thân có đang tự tưởng tượng về việc tăng kích thước vòng 1 hay không.
“Tôi cảm thấy như vòng 1 của mình đã lớn hơn sau khi tiêm vắc xin Pfizer. Không rõ tôi có ảo tưởng không nữa”, một phụ nữ viết trên Twitter.
“Qua trải nghiệm của riêng mình, tôi cam đoan là vắc xin Pfizer có thể làm vòng 1 to lên”, một người khác viết.
Một số phụ nữ khác cũng chia sẻ sự kinh ngạc và vui mừng của họ trước sự thay đổi mà họ cho là tích cực về cơ thể sau khi tiêm vắc xin Covid-19.
“Hiệu ứng” tạm thời?
Theo Bộ Y tế Úc, các hạch bạch huyết bị viêm sưng là một tác dụng phụ ít gặp khi tiêm chủng.
Tại Mỹ, nơi việc tiêm chủng vắc xin Covid-19 được triển khai nhanh, các bác sĩ cho biết, có nhiều phụ nữ được tiêm chủng đã đặt lịch hẹn chụp X-quang phần ngực.
Tiến sĩ Laura Esserman, giám đốc Trung tâm chăm sóc vòng 1, thuộc Đại học California San Francisco (Mỹ), cho rằng, hiện tượng nhiều phụ nữ Mỹ đặt lịch chụp X-quang là do họ nhầm lẫn giữa việc các hạch bạch huyết ở ngực bị sưng sau khi tiêm vắc xin với các dấu hiệu của bệnh ung thư vú.
“Tôi tin rằng có hàng trăm nghìn phụ nữ sẽ gặp tác dụng phụ này sau khi tiêm chủng”, tiến sĩ Esserman chia sẻ với ABC7 Chicago.

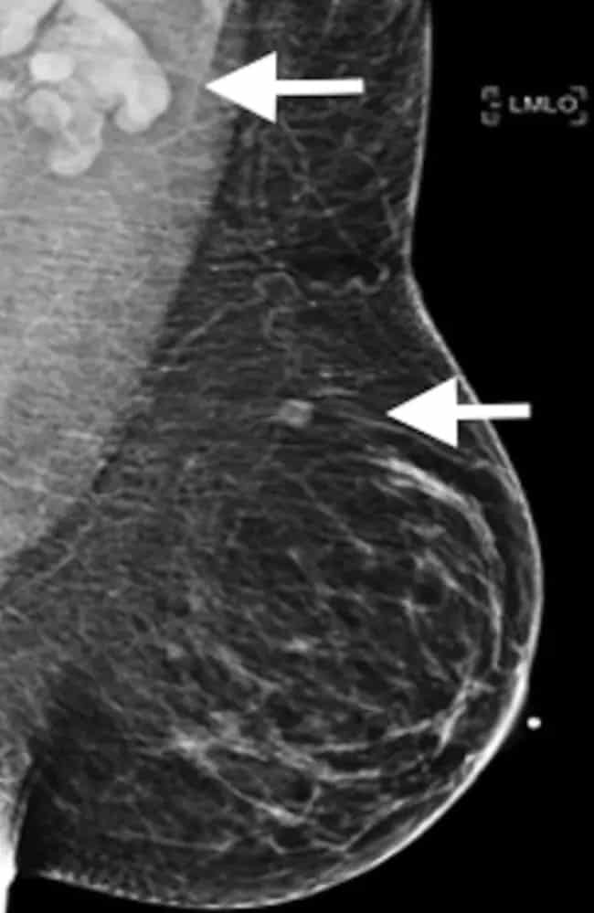
Cách hạch bạch huyết bị viêm sưng của một phụ nữ sau khi tiêm vắc xin Covid-19. Ảnh: Radiological Society of North America
Một nghiên cứu được công bố bởi Hiệp hội X-quang Bắc Mỹ, gần đây kết luận, nổi hạch sau tiêm vắc xin là một tác dụng phụ mà các bác sĩ lâm sàng, bệnh nhân và các nhà nghiên cứu ung thư cần lưu ý vì rất dễ nhầm lẫn nó thành cách triệu chứng của ung thư vú.
Trong khi chưa rõ mất bao lâu để tình trạng sưng hạch bạch huyết biến mất, nghiên cứu cho biết đây là tác dụng phụ “tạm thời”.
Tại Úc, phụ nữ trên 50 tuổi cần chụp X-quang vòng 1 thường xuyên được khuyên nên chụp trước hoặc trì hoãn tới tuần thứ 6 kể từ sau khi tiêm vắc xin Covid-19 để tránh chẩn đoán nhầm.
Nguyên nhân nào dẫn tới sưng hạch bạch huyết?
Khi vắc xin được tiêm vào phần trên của cánh tay, các hạch bạch huyết ở nách tương ứng với phần cánh tay đó sẽ bị kích hoạt và sưng phồng.Theo The Conversation, đây là cách cơ thể đang chuẩn bị tạo ra phản ứng bảo vệ của hệ miễn dịch.
Theo Đại học X-quang New Zealand và hoàng gia Úc, tình trạng sưng hạch bạch huyết chưa được ghi nhận ở người tiêm vắc xin AstraZeneca.
Tình trạng sưng tấy hạch bạch huyết ở ngực có được ghi nhận với một số phụ nữ tiêm vắc xin Moderna.
Theo Dân Việt

No comments.
You can be the first one to leave a comment.