Skip to content
Tin tức nước Úc nhanh nhất, chính xác nhất
Wednesday, 08 Oct 2025
Menu
Tin Nước Úc
Sydney
Melbourne
Du Học Úc
Visa Úc
Du lịch Úc
Cộng Đồng
Mẹo Hay
Bí ẩn
Tâm Sự – Chia Sẻ
Liên kết nhanh:
tin nuoc uc
trung quốc
Covid-19
Úc
Mỹ
melbourne
Viet Nam
sydney
tác hại mới
Sức Khỏe
29/03/2022
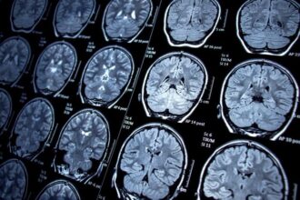
Phát hiện tác hại mới của Covid-19
Where Niche Finds Its Perfect WordPress Match
From personal blogs to professional business websites, ThemeRuby offers a wide range of stunning WordPress themes thoughtfully crafted to suit every purpose and niche.
Khám phá ngay