Skip to content

Alo Úc – Tin nước Úc

Tin tức nước Úc nhanh nhất, chính xác nhất

Sunday, 12 Oct 2025
  • Tin Nước Úc
    • Sydney
    • Melbourne
  • Du Học Úc
  • Visa Úc
  • Du lịch Úc
  • Cộng Đồng
    • Mẹo Hay
    • Bí ẩn
  • Tâm Sự – Chia Sẻ
  • Liên kết nhanh:
  • tin nuoc uc
  • trung quốc
  • Covid-19
  • Úc
  • Mỹ
  • melbourne
  • Viet Nam
  • sydney
Sức Khỏe
08/07/2022

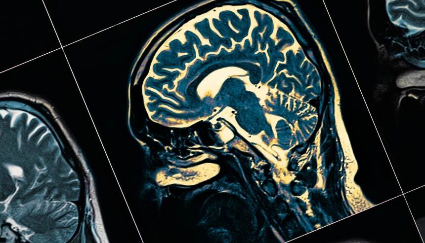
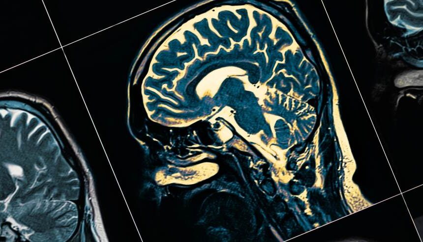
Úc tạo đột phá trong nghiên cứu về bệnh Alzheimer

Tin Nước Úc
08/07/2022

Gần 50% dân số Úc sống chung với ít nhất một bệnh mãn tính

Tin Mới Trong Ngày
07/07/2022

Nhiều người Việt bị bắt vì sử dụng ma túy ở Hàn Quốc là nhập cư bất hợp pháp

Khám Phá
07/07/2022

Kỹ sư Nhật Bản chế tạo chiếc đèn ngủ hình nhện đáng sợ biết đi lại để “canh nhà” vào ban đêm

Khám Phá
07/07/2022

Sản phẩm gây tranh cãi: Hamburger chay có vị… thịt người!

Khoa Học
07/07/2022

Chuột nhân bản đầu tiên ra đời từ da chết: Công nghệ Nhật Bản đem đến triển vọng hồi sinh “quái vật” tiền sử

Xem nhiều

Úc bắt đầu nhận thanh niên Việt Nam tới du lịch và làm việc từ 1/7

Nước Úc

Tìm hiểu về Nước Úc – Đất nước thuộc TOP đáng sống nhất thế giới

Những quy định về hàng hóa khi mang sang Úc

Những quy định mới về hàng hóa khi mang sang Úc

Chính phủ Úc sẽ áp dụng thử nghiệm visa 3 năm cho người Việt đi du lịch Úc

ĐIỀU KIỆN ĐỊNH CƯ ÚC DIỆN ĐẦU TƯ / DOANH NHÂN

Khám phá nước Úc

Tin nổi bật

Cộng Đồng
31/12/2021

Nấm đông trùng hạ thảo Cordyceps militaris – Thời điểm vàng để sử dụng trong phòng chống dịch COVID-19 tại Úc

Nước Úc
Du lịch Úc
17/08/2021

Tìm hiểu về Nước Úc – Đất nước thuộc TOP đáng sống nhất thế giới

Tin Nước Úc
23/07/2021

Sydney có thêm 136 ca lây nhiễm covid mới – Biến chủng Delta ngày càng mạnh và đáng sợ hơn

Du lịch Úc
11/07/2021

Đi du lịch Úc thì mua đặc sản gì để làm quà cho người thân & bạn bè?

A screenshot of the ABC News page on Facebook showing no posts
Tin Nước Úc
18/02/2021

Facebook chặn toàn bộ nội dung các nguồn cung cấp dữ liệu tin tức quan trọng tại Úc

Tin Nước Úc
02/11/2020

Du học Úc 2021 yêu cầu điều kiện gì và cần bao nhiêu tiền?

Tin Nước Úc
26/10/2020

Cảnh sát Úc bắt giữ 14 người Việt và thu giữ hơn 13.000 cây cần sa trái phép

Cộng Đồng Rao Vặt - Việc Làm
21/10/2020

Cộng đồng người Việt Nam tại Úc kêu gọi cùng nhau hướng về miền trung Việt Nam (Cập nhật)

Định Cư Úc
02/10/2020

Hỏi đáp: Con dưới 18 tuổi có bảo lãnh cha mẹ định cư Úc được không?

Du lịch Úc Tin Nước Úc
10/01/2020

Say đắm chiêm ngưỡng mùa dâu chín rộ ở Úc

  • Liên kết nhanh:
  • tin nuoc uc
  • trung quốc
  • Covid-19
  • Úc
  • Mỹ
  • melbourne
  • Viet Nam
  • sydney

Công Nghệ

Công Nghệ
02/01/2023

Một khi xe điện Tesla cháy thì không gì có thể dập tắt

Công Nghệ
17/01/2023

Quay lưng với nguyên liệu từ Trung Quốc, Úc xây dựng hẳn nhà máy “pin xanh”, 100 năm sau vẫn dùng thoải mái

Công Nghệ
10/01/2023

Khách Trung Quốc biểu tình rầm rộ đòi trả xe lấy lại tiền của Tesla

Công Nghệ
04/01/2023

Siêu đập thủy điện lớn thứ 2 ở Trung Quốc hoạt động đủ cấp điện cho quốc gia hơn 70 triệu người

Du Học Úc

Du Học Úc
01/02/2023

Quán quân Olympia 2019: Không đi du học Úc, không muốn bị coi là “nhân tài”

Du Học Úc
08/08/2022

Hội sinh viên Việt Nam tại Úc – Ngôi nhà của các thanh niên, du học sinh

Tân cử nhân Việt tại Úc tốt nghiệp chỉ sau 2 năm, đầu quân cho tập đoàn kiểm toán lớn nhất thế giới

Ngày hội Việc làm 2022 của du học sinh Việt tại bang New South Wales, Úc

Úc có quyết định mới về giới hạn giờ làm thêm của du học sinh

Ẩm Thực

Ẩm Thực Khám Phá
23/07/2022

Món cơm chan trà xanh lạ lùng ở Nhật Bản

Ẩm Thực
26/08/2022

Cách làm bánh trung thu trứng muối tan chảy, ngon khó cưỡng

Ẩm Thực
18/08/2022

Burger King ở Nhật thêm một lớp đá vào giữa nhân bánh để “giải nhiệt” do thời tiết quá nóng

Ẩm Thực
29/07/2022

Những lần món ăn Việt Nam xuất hiện trên anime Nhật Bản: Chân thật đến từng cọng rau, xem đến đâu là đói đến đó

Ẩm Thực
24/07/2022

Một loạt món ăn Việt lên truyền hình nước ngoài: Toàn những đặc sản quen thuộc khiến bạn bè quốc tế vừa ăn vừa trầm trồ

Chính Trị

Chính Trị
23/08/2022

Nga chỉ đích danh mật vụ Ukraine gây ra vụ ám sát chấn động Moscow

Chính Trị
21/08/2022

Vĩnh biệt bà Raymonde Dien – người bạn lớn của Việt Nam

Chính Trị
17/08/2022

Ông Trump: ‘FBI đánh cắp 3 hộ chiếu của tôi’

Chính Trị
16/08/2022

Cựu thủ tướng Úc từng tự bổ nhiệm bản thân đứng đầu 3 bộ

Chính Trị
13/08/2022

Triều Tiên tuyên bố đối đầu Mỹ – ‘nhóm tội phạm duy nhất trên thế giới’

Khám phá nước Úc qua những hình ảnh và video

Úc là một quốc gia thân thiện, an toàn và đầy cơ hội, thường được xếp hạng cao trong các chỉ số hạnh phúc toàn cầu. Nếu bạn muốn biết thêm về một khía cạnh cụ thể như du lịch, ẩm thực (thử vegemite hoặc thịt nướng BBQ!) hay lịch sử, hãy hỏi tôi nhé
Khám phá ngay

Tin thêm

Cộng Đồng
15/02/2023

Trung Quốc cương quyết dẹp nạn hét giá cô dâu thách cưới

Bí ẩn
14/02/2023

Chuyện gì đang xảy ra ở New Zealand vậy?

Khoa Học
09/02/2023

Úc phát minh ‘ô tô đua bay’ đầu tiên trên thế giới: ‘Vít’ 90km chỉ mất 2,8 giây, chạy ngang xe Công thức 1

Pháp Luật
04/02/2023

Nữ sinh lớp 9 đánh cô giáo của mình dã man đến mức gãy chân

Tin Nước Úc
04/02/2023

Bài toán đi chợ của du học sinh Việt tại Úc trong thời điểm lạm phát tăng cao toàn cầu

Cộng Đồng
01/02/2023

Cá chạch bùn “đặc sản Việt Nam” phát triển bùng nổ, làm tắc nghẽn các máy bơm ở Úc

Du Học Úc
01/02/2023

Quán quân Olympia 2019: Không đi du học Úc, không muốn bị coi là “nhân tài”

Sức Khỏe
27/01/2023

Tia cực tím từ máy sấy móng tay có thể làm hỏng DNA, gây đột biến tế bào tăng nguy cơ ung thư

Cộng Đồng
17/01/2023

HLV Park Hang-seo kiếm tiền ‘khủng’ cỡ nào: Mức lương kỷ lục 14 tỷ/năm chỉ là một phần, 2 nguồn thu khác cũng gây choáng không kém

Công Nghệ
17/01/2023

Quay lưng với nguyên liệu từ Trung Quốc, Úc xây dựng hẳn nhà máy “pin xanh”, 100 năm sau vẫn dùng thoải mái

  • 1
  • …
  • 45
  • 46
  • 47
  • 48
  • 49
  • …
  • 2.469
Xem thêm
  • Kinh Doanh
  • Kinh Tế
  • Nấu Gì hôm Nay
  • Nghị Lực Sống
  • Du Học Úc
  • Du lịch Úc
  • Nước Úc
  • Di Trú Úc
  • Du học Úc 2025
  • Du lịch Melbourne
  • Du lịch Úc tự túc
  • Cộng Đồng
  • Công Nghệ
  • Du Lịch
  • Điện Ảnh
  • Định Cư Úc
  • Đời Sống
  • Tỷ giá đô la Úc
  • Swift code ngân hàng Việt Nam
  • Tỷ giá đô la chợ đen

© 2014 – 2025. Toàn bộ bản quyền thuộc về Alô Úc

Vận hàng bởi:  XCORP JOINT STOCK

Tel: 084888468 * Email: [email protected]